Choroby tarczycy to temat, który często kojarzony jest przede wszystkim z kobietami. Tymczasem jest to poważny błąd, który niestety przyczynia się do opóźniania diagnozy u wielu mężczyzn. W tym artykule, jako Nina Górecka, pragnę obalić ten mit i dostarczyć kompleksowych informacji na temat objawów, przyczyn, diagnostyki i skutecznego leczenia schorzeń tarczycy, które dotykają również panów.
Mężczyźni chorują na tarczycę: co musisz wiedzieć o objawach i leczeniu?
- Mężczyźni chorują na tarczycę, choć rzadziej niż kobiety; problem dotyka około 2.5% Polaków, a częstość wzrasta z wiekiem.
- Najczęstsze choroby to niedoczynność (często Hashimoto), nadczynność (często Gravesa-Basedowa) oraz rak tarczycy.
- Kluczowe objawy u mężczyzn to spadek libido, zaburzenia erekcji, problemy z płodnością, utrata masy mięśniowej i ginekomastia, oprócz ogólnych symptomów.
- Diagnostyka opiera się na badaniach krwi (TSH, fT3, fT4, przeciwciała anty-TPO, anty-TG, TRAb) i USG tarczycy.
- Leczenie jest zróżnicowane i zależy od rodzaju schorzenia, od lewotyroksyny po leki przeciwtarczycowe, jod radioaktywny czy operację.

Choroby tarczycy u mężczyzn: dlaczego to ważniejszy temat, niż myślisz?
Mit "kobiecej choroby": jak powszechne przekonania opóźniają diagnozę u mężczyzn?
W powszechnej świadomości choroby tarczycy są niemal wyłącznie domeną kobiet. To przekonanie, choć częściowo uzasadnione statystykami, jest niezwykle szkodliwe. Wiele osób, w tym niestety sami mężczyźni, bagatelizuje objawy, sądząc, że "to nie może być tarczyca, bo to choroba kobieca". Taki stereotyp prowadzi do opóźnień w diagnostyce, a co za tym idzie w rozpoczęciu leczenia. Nieleczone schorzenia tarczycy mogą mieć poważne konsekwencje dla zdrowia i jakości życia, dlatego tak ważne jest, aby obalić ten mit i uświadomić, że problem dotyka również panów.
Twarde dane: ilu Polaków zmaga się z problemami z tarczycą?
Choć statystyki faktycznie pokazują, że kobiety chorują na tarczycę znacznie częściej (nawet 5-9 razy), nie oznacza to, że mężczyźni są bezpieczni. W Polsce w 2019 roku problemy z tarczycą deklarowało 2,5% mężczyzn. Szacuje się, że na jawną niedoczynność tarczycy cierpi około 3% mężczyzn, a na nadczynność 0,3%. Co istotne, częstość występowania tych schorzeń u panów wzrasta wraz z wiekiem, co oznacza, że problem staje się coraz bardziej palący w starszych grupach wiekowych.
Mały gruczoł, wielka rola: za co dokładnie odpowiada tarczyca w męskim organizmie?
Tarczyca, niewielki gruczoł położony u podstawy szyi, odgrywa fundamentalną rolę w funkcjonowaniu całego organizmu, zarówno u kobiet, jak i u mężczyzn. Produkuje hormony tyroksynę (T4) i trójjodotyroninę (T3) które regulują metabolizm każdej komórki ciała. Odpowiadają za poziom energii, temperaturę ciała, pracę serca, układu nerwowego, a także mają kluczowy wpływ na nastrój i ogólne samopoczucie. U mężczyzn, hormony tarczycy są również niezbędne dla prawidłowej funkcji seksualnej, płodności oraz utrzymania masy mięśniowej. Ich niedobór lub nadmiar może więc znacząco zaburzyć męską fizjologię.
Kiedy tarczyca zawodzi: objawy, które powinny zaniepokoić każdego mężczyznę
Zmęczenie, wahania wagi, problemy z nastrojem: objawy, które łatwo zignorować
Wiele objawów chorób tarczycy jest wspólnych dla obu płci i niestety, często bywają ignorowane lub mylone z innymi dolegliwościami. Mężczyźni mogą doświadczać niewyjaśnionych zmian w masie ciała nagłego przybierania na wadze przy niedoczynności lub chudnięcia przy nadczynności. Powszechne jest również przewlekłe zmęczenie, senność, problemy z koncentracją oraz zmiany nastroju, takie jak drażliwość czy stany depresyjne. W codziennym zabieganiu łatwo przypisać te symptomy stresowi, przepracowaniu czy po prostu "gorszemu dniu", co niestety opóźnia postawienie właściwej diagnozy.Najbardziej niedoceniane symptomy: sucha skóra, wypadające włosy i nietolerancja temperatur
Poza ogólnymi symptomami, istnieją również inne, często niedoceniane sygnały, które mogą wskazywać na problemy z tarczycą. Zwróć uwagę na nadmierną suchość skóry, która może stać się szorstka i łuszcząca się. Inną alarmującą oznaką jest wypadanie włosów, nie tylko z głowy, ale także z brwi czy innych części ciała. Nietolerancja temperatur to kolejny sygnał przy niedoczynności mężczyźni często odczuwają zimno, nawet w ciepłym otoczeniu, natomiast przy nadczynności skarżą się na nadmierne gorąco i potliwość. Te objawy, choć pozornie błahe, w połączeniu z innymi symptomami powinny skłonić do wizyty u lekarza.
Alarm w sypialni: spadek libido, problemy z erekcją i płodnością jako kluczowy sygnał
Dla wielu mężczyzn to właśnie objawy związane ze sferą seksualną są najbardziej alarmujące i często skłaniają do poszukiwania pomocy medycznej. Choroby tarczycy mogą prowadzić do znacznego spadku libido, a także do zaburzeń erekcji. Co więcej, zarówno niedoczynność, jak i nadczynność tarczycy negatywnie wpływają na płodność, obniżając jakość nasienia zmniejszając ilość, ruchliwość i morfologię plemników. Mogą również powodować problemy z wytryskiem (opóźniony lub przedwczesny). Należy podkreślić, że choroby tarczycy często prowadzą do obniżenia poziomu testosteronu, co dodatkowo pogłębia te problemy. Jeśli zauważasz u siebie takie sygnały, nie bagatelizuj ich to może być kluczowy znak, że tarczyca potrzebuje wsparcia.Siła i sylwetka w odwrocie: utrata masy mięśniowej i ginekomastia
Innymi męskimi objawami, które mogą wskazywać na problemy z tarczycą, są zmiany w budowie ciała. Mężczyźni mogą zauważyć niewyjaśnioną utratę masy mięśniowej, co bywa szczególnie niepokojące dla osób aktywnych fizycznie. Kolejnym symptomem, choć mniej powszechnym, jest ginekomastia, czyli powiększenie gruczołów piersiowych. Ten objaw jest częściej związany z nadczynnością tarczycy. Czasem obserwuje się również zmniejszone owłosienie na twarzy. Wszystkie te zmiany w wyglądzie i funkcjonowaniu organizmu powinny być sygnałem do konsultacji z lekarzem.
Niedoczynność tarczycy i Hashimoto: cichy wróg męskiej energii
Czym jest niedoczynność tarczycy i dlaczego Hashimoto to jej najczęstsza przyczyna?
Niedoczynność tarczycy (hipotyreoza) to stan, w którym tarczyca produkuje zbyt mało hormonów, co spowalnia metabolizm całego organizmu. Jest to najczęstsze schorzenie tarczycy, również u mężczyzn. Jej główną przyczyną jest autoimmunologiczne zapalenie tarczycy, czyli choroba Hashimoto. Mimo że u mężczyzn występuje ona około 8-9 razy rzadziej niż u kobiet, nadal jest dominującym czynnikiem. Inne przyczyny niedoczynności to leczenie jodem promieniotwórczym, operacyjne usunięcie tarczycy (np. z powodu guzków czy raka), a także niedobory jodu i selenu w diecie. Niezależnie od przyczyny, niedoczynność wymaga leczenia, aby przywrócić równowagę hormonalną.
Jak rozpoznać niedoczynność? Pełna lista objawów u mężczyzn
Objawy niedoczynności tarczycy u mężczyzn mogą być zróżnicowane i rozwijać się stopniowo. Warto zwrócić uwagę na następujące sygnały:
- Przewlekłe zmęczenie, osłabienie, senność.
- Przyrost masy ciała, pomimo braku zmian w diecie.
- Problemy z koncentracją, pamięcią, spowolnienie myślenia.
- Depresja, apatia, drażliwość, wahania nastroju.
- Sucha, szorstka skóra, bladość, łamliwe paznokcie.
- Wypadanie włosów (z głowy, brwi, ciała), zmniejszone owłosienie na twarzy.
- Uczucie zimna, nietolerancja niskich temperatur.
- Zaparcia.
- Spowolnienie akcji serca (bradykardia).
- Spadek libido, zaburzenia erekcji, problemy z płodnością.
- Utrata masy mięśniowej, osłabienie siły.
- Obrzęki (szczególnie twarzy, powiek, rąk).
Jak choroba Hashimoto niszczy tarczycę? Zrozumieć proces autoimmunologiczny
Choroba Hashimoto to przykład schorzenia autoimmunologicznego, co oznacza, że układ odpornościowy organizmu, zamiast chronić przed patogenami, zaczyna atakować własne tkanki. W przypadku Hashimoto celem ataku staje się tarczyca. Limfocyty i przeciwciała (anty-TPO, anty-TG) niszczą komórki tarczycy, prowadząc do jej przewlekłego zapalenia i stopniowego zmniejszania zdolności do produkcji hormonów. Początkowo tarczyca może nawet przejściowo produkować ich za dużo (tzw. faza Hashimoto-toksykozy), ale z czasem nieuchronnie prowadzi to do niedoczynności. Zrozumienie tego procesu jest kluczowe dla efektywnego leczenia i monitorowania choroby.
Nadczynność tarczycy: gdy organizm pracuje na zbyt wysokich obrotach
Choroba Gravesa-Basedowa i inne przyczyny nadmiaru hormonów
Nadczynność tarczycy (hipertyreoza) to stan, w którym tarczyca produkuje zbyt dużo hormonów, co przyspiesza metabolizm i prowadzi do nadmiernej aktywności organizmu. Najczęstszą przyczyną nadczynności jest choroba Gravesa-Basedowa również schorzenie autoimmunologiczne, w którym przeciwciała (TRAb) stymulują tarczycę do nadmiernej produkcji hormonów. Inne przyczyny to wole guzkowe toksyczne (pojedynczy lub mnogie guzki produkujące hormony niezależnie od TSH), zapalenia tarczycy (np. podostre zapalenie tarczycy de Quervaina) czy, rzadziej, guzy przysadki mózgowej produkujące TSH.
Niepokój, kołatanie serca, utrata wagi: objawy, których nie można przeoczyć
Nadczynność tarczycy manifestuje się szeregiem charakterystycznych objawów, które są często bardziej dynamiczne niż w przypadku niedoczynności. Warto zwrócić uwagę na:
- Niepokój, nerwowość, drażliwość, trudności ze snem.
- Kołatanie serca, przyspieszone tętno, arytmie.
- Niewyjaśniona utrata masy ciała, pomimo zwiększonego apetytu.
- Zwiększona potliwość, uczucie gorąca, nietolerancja wysokich temperatur.
- Drżenie rąk (tzw. drżenie drobnofaliste).
- Osłabienie siły mięśniowej.
- Biegunki.
- Powiększenie tarczycy (wole).
- Ginekomastia (powiększenie gruczołów piersiowych).
Wytrzeszcz oczu i inne specyficzne symptomy: na co zwrócić szczególną uwagę?
W przypadku choroby Gravesa-Basedowa, oprócz ogólnych objawów nadczynności, mogą wystąpić również symptomy specyficzne dla tej jednostki chorobowej. Najbardziej charakterystycznym z nich jest wytrzeszcz oczu (oftalmopatia tarczycowa), który może objawiać się uczuciem piasku pod powiekami, zaczerwienieniem, łzawieniem, podwójnym widzeniem, a w zaawansowanych przypadkach nawet zaburzeniami wzroku. Inne rzadsze objawy to obrzęk przedgoleniowy (tzw. dermopatia tarczycowa) czy akropachia tarczycowa (pogrubienie palców i paznokci). Wystąpienie tych symptomów zawsze wymaga pilnej konsultacji z endokrynologiem i okulistą.

Guzki i rak tarczycy u mężczyzn: co musisz wiedzieć?
Czy każdy guzek to nowotwór? Kiedy należy się niepokoić?
Wykrycie guzka w tarczycy często budzi duży niepokój, jednak warto pamiętać, że większość guzków tarczycy jest łagodna i nie stanowi zagrożenia nowotworowego. Niemniej jednak, każdy guzek wymaga diagnostyki. Czynniki, które mogą budzić podejrzenia złośliwości, to m.in. szybki wzrost guzka, jego twarda konsystencja, unieruchomienie względem otaczających tkanek, powiększone węzły chłonne szyi, a także wystąpienie guzka u mężczyzn poniżej 20. lub powyżej 60. roku życia. Jeśli zauważysz u siebie guzek na szyi, niezwłocznie skonsultuj się z lekarzem rodzinnym, który skieruje Cię na dalsze badania.
Rodzaje raka tarczycy i statystyki zachorowań u mężczyzn
Rak tarczycy, choć rzadszy niż inne nowotwory, jest najczęstszym nowotworem układu endokrynnego. Wyróżniamy kilka jego rodzajów:
- Rak brodawkowaty: Najczęstszy typ (ok. 80-90% przypadków), charakteryzuje się zazwyczaj powolnym wzrostem i dobrym rokowaniem.
- Rak pęcherzykowy: Drugi co do częstości (ok. 10-15%), również ma stosunkowo dobre rokowanie.
- Rak rdzeniasty: Rzadszy (ok. 1-2%), może być dziedziczny.
- Rak anaplastyczny: Bardzo rzadki (poniżej 1%), agresywny i trudny w leczeniu.
Ważne jest, aby podkreślić, że rak tarczycy występuje u mężczyzn 3-5 razy rzadziej niż u kobiet. Mimo to, nie można go lekceważyć, a wczesna diagnostyka jest kluczowa.
Rokowania w raku tarczycy: jakie są szanse na wyleczenie?
Ogólne rokowania w raku tarczycy są zazwyczaj bardzo dobre, szczególnie w przypadku najczęściej występujących typów. Dla raka brodawkowatego i pęcherzykowego 5-letnie przeżycie wynosi około 80%, a często pacjenci żyją znacznie dłużej, a nawet zostają całkowicie wyleczeni. Niestety, rokowania są gorsze w przypadku rzadkiego i agresywnego raka anaplastycznego, gdzie leczenie jest znacznie trudniejsze. Kluczem do sukcesu jest jednak wczesne wykrycie i odpowiednio dobrane leczenie, dlatego tak ważne jest, aby nie ignorować żadnych niepokojących objawów.
Od podejrzenia do diagnozy: jak wygląda ścieżka diagnostyczna?
Pierwszy krok: do jakiego lekarza się udać?
Jeśli zauważysz u siebie niepokojące objawy, które mogą wskazywać na problemy z tarczycą, pierwszym krokiem powinna być wizyta u lekarza rodzinnego. To on, po zebraniu wywiadu i wstępnym badaniu, zdecyduje o konieczności wykonania podstawowych badań krwi. W razie potrzeby, w zależności od wyników, lekarz rodzinny skieruje Cię do specjalisty endokrynologa, który zajmuje się diagnostyką i leczeniem chorób układu dokrewnego, w tym tarczycy.
Kluczowe badania z krwi: TSH, fT3, fT4 co oznaczają te skróty?
Podstawą diagnostyki chorób tarczycy są badania krwi. Najważniejsze z nich to:
- TSH (hormon tyreotropowy): Jest to hormon wydzielany przez przysadkę mózgową, który stymuluje tarczycę do produkcji hormonów. Jest to podstawowe badanie przesiewowe. Wysokie TSH zwykle wskazuje na niedoczynność tarczycy, a niskie na nadczynność.
- fT4 (wolna tyroksyna): Aktywna forma hormonu tarczycy. Jej poziom odzwierciedla faktyczną ilość hormonów tarczycy dostępnych dla tkanek.
- fT3 (wolna trójjodotyronina): Również aktywna forma hormonu tarczycy, choć w mniejszej ilości niż fT4. Badanie fT3 i fT4 jest kluczowe dla potwierdzenia diagnozy i oceny stopnia zaawansowania choroby.
Rola przeciwciał (anty-TPO, anty-TG, TRAb) w rozpoznaniu przyczyny problemu
W diagnostyce chorób autoimmunologicznych tarczycy, takich jak Hashimoto czy Gravesa-Basedowa, kluczowe jest oznaczenie poziomu specyficznych przeciwciał:
- anty-TPO (przeciwciała przeciwko peroksydazie tarczycowej) i anty-TG (przeciwciała przeciwko tyreoglobulinie): Ich podwyższony poziom jest charakterystyczny dla choroby Hashimoto i wskazuje na autoimmunologiczne zapalenie tarczycy.
- TRAb (przeciwciała przeciwko receptorowi TSH): Ich obecność jest typowa dla choroby Gravesa-Basedowa, gdzie stymulują tarczycę do nadmiernej produkcji hormonów.
Badania te pomagają endokrynologowi ustalić dokładną przyczynę problemów z tarczycą i dobrać odpowiednie leczenie.
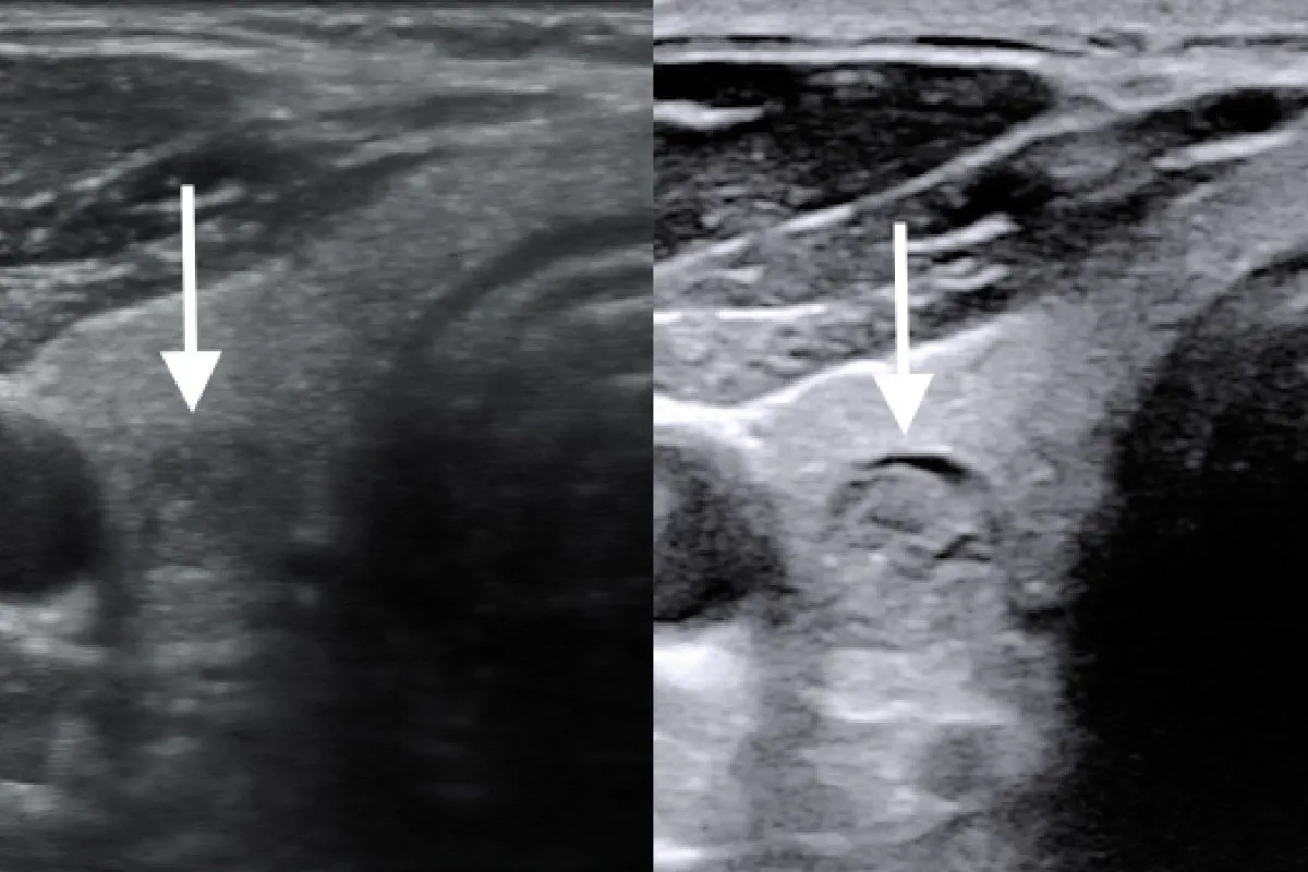
Co pokaże USG tarczycy i kiedy konieczna jest biopsja?
USG tarczycy to nieinwazyjne badanie obrazowe, które pozwala na dokładną ocenę wielkości, kształtu i struktury gruczołu. Dzięki niemu można wykryć obecność guzków, ocenić ich wielkość, echogeniczność i unaczynienie. USG jest również pomocne w monitorowaniu zmian w tarczycy. Jeśli podczas badania USG wykryte zostaną podejrzane guzki, endokrynolog może zlecić biopsję aspiracyjną cienkoigłową (BACC). Polega ona na pobraniu niewielkiej próbki komórek z guzka za pomocą cienkiej igły, pod kontrolą USG. Pobrany materiał jest następnie analizowany pod mikroskopem, co pozwala ocenić, czy zmiana ma charakter łagodny, czy złośliwy.
Skuteczne leczenie: jak odzyskać kontrolę nad swoim zdrowiem?
Terapia niedoczynności: na czym polega leczenie lewotyroksyną?
Leczenie niedoczynności tarczycy jest zazwyczaj proste i bardzo skuteczne. Polega na codziennym, dożywotnim przyjmowaniu syntetycznego hormonu tarczycy lewotyroksyny. Jest to substancja identyczna z naturalnym hormonem produkowanym przez tarczycę. Dawka leku jest indywidualnie dobierana przez endokrynologa na podstawie wyników badań TSH, fT3 i fT4 oraz samopoczucia pacjenta. Regularne przyjmowanie lewotyroksyny pozwala na uzupełnienie niedoboru hormonów, przywrócenie prawidłowego metabolizmu i ustąpienie większości objawów choroby. Ważne jest, aby lek przyjmować rano, na czczo, około 30-60 minut przed posiłkiem i innymi lekami.
Metody walki z nadczynnością: od leków po leczenie jodem radioaktywnym
Leczenie nadczynności tarczycy jest bardziej zróżnicowane i zależy od przyczyny, nasilenia objawów oraz indywidualnych cech pacjenta. Główne metody to:
- Leki przeciwtarczycowe (tyreostatyki): Takie jak tiamazol czy propylotiouracyl, hamują produkcję hormonów tarczycy. Są często stosowane jako pierwsza linia leczenia.
- Leczenie jodem radioaktywnym (I-131): Polega na podaniu radioaktywnego jodu, który jest wychwytywany przez komórki tarczycy i niszczy je, zmniejszając produkcję hormonów. Jest to skuteczna i bezpieczna metoda, często stosowana u pacjentów, którzy nie reagują na leki lub mają nawroty choroby.
- Leczenie operacyjne (usunięcie tarczycy): Jest to opcja rozważana w przypadku dużego wola, u pacjentów z przeciwwskazaniami do jodu radioaktywnego, lub gdy inne metody zawiodły.
Leczenie operacyjne: kiedy usunięcie tarczycy jest koniecznością?
Operacja usunięcia tarczycy (tyreoidektomia) jest poważną interwencją, ale w niektórych przypadkach jest konieczna. Wskazania do operacji obejmują:
- Duże wole, które uciskają tchawicę lub przełyk, powodując problemy z oddychaniem lub połykaniem.
- Niekontrolowana nadczynność tarczycy, która nie reaguje na leczenie farmakologiczne ani jod radioaktywny.
- Podejrzenie lub potwierdzenie raka tarczycy w takich przypadkach operacja jest zazwyczaj pierwszą i najważniejszą metodą leczenia.
Po operacji pacjenci zazwyczaj muszą przyjmować lewotyroksynę do końca życia, aby uzupełnić brak hormonów tarczycy.

Twoja rola w procesie leczenia: dieta i styl życia wspierające tarczycę
Jod, selen, cynk: jakie składniki są kluczowe w męskiej diecie?
Wspieranie zdrowia tarczycy poprzez odpowiednią dietę i styl życia jest niezwykle ważne, zwłaszcza w przypadku chorób autoimmunologicznych, takich jak Hashimoto. Kluczowe składniki odżywcze to:
- Jod: Niezbędny do produkcji hormonów tarczycy. Jego źródła to ryby morskie, owoce morza, nabiał, jodowana sól. W przypadku Hashimoto należy zachować ostrożność z suplementacją jodu, ponieważ jego nadmiar może nasilać proces autoimmunologiczny.
- Selen: Ważny dla prawidłowego funkcjonowania enzymów tarczycowych i ochrony przed stresem oksydacyjnym. Bogate w selen są orzechy brazylijskie, ryby, mięso, jaja.
- Cynk: Wpływa na metabolizm hormonów tarczycy i wspiera układ odpornościowy. Znajdziemy go w mięsie, owocach morza, pestkach dyni.
- Witamina D: Jej niedobory są często obserwowane u pacjentów z chorobami autoimmunologicznymi tarczycy. Warto monitorować jej poziom i w razie potrzeby suplementować.
Czego unikać, by nie szkodzić tarczycy? Produkty, które warto ograniczyć
W diecie wspierającej tarczycę warto ograniczyć produkty przetworzone, bogate w cukier i tłuszcze trans, które mogą nasilać stany zapalne w organizmie. W przypadku niektórych osób, szczególnie z chorobą Hashimoto, zaleca się również obserwację reakcji na gluten i nabiał, gdyż mogą one nasilać objawy. Warto również zwrócić uwagę na warzywa krzyżowe (brokuły, kalafior, kapusta), które w dużych ilościach i spożywane na surowo mogą wpływać na wchłanianie jodu. Jednak po ugotowaniu ich działanie jest znacznie mniejsze i nie ma potrzeby całkowitego ich eliminowania z diety.
Przeczytaj również: Męskie preferencje: Jakie paznokcie pociągają, a jakie odstraszają?
Rola aktywności fizycznej i zarządzania stresem w powrocie do równowagi
Dieta to nie wszystko. Regularna, umiarkowana aktywność fizyczna ma ogromne znaczenie dla ogólnego zdrowia, w tym dla funkcjonowania tarczycy. Pomaga w utrzymaniu prawidłowej masy ciała, poprawia nastrój i redukuje stres. Równie ważne jest zarządzanie stresem, który może negatywnie wpływać na układ hormonalny i nasilać objawy chorób tarczycy. Techniki relaksacyjne, medytacja, joga czy po prostu czas na hobby mogą przynieść ulgę. Nie zapominajmy także o higienie snu odpowiednia ilość i jakość snu jest kluczowa dla regeneracji organizmu i prawidłowej pracy gruczołów dokrewnych.
